- ホーム
- ホワイトニング

当院のホワイトニングの特徴
- 高濃度のホワイトニング剤と特殊な光線を使用するため、一度のホワイトニングで白さを実感
- セルフホワイトニングではできない白さを手に入れられる
- プロが行うので安心
- 笑った時に見える歯を白くします
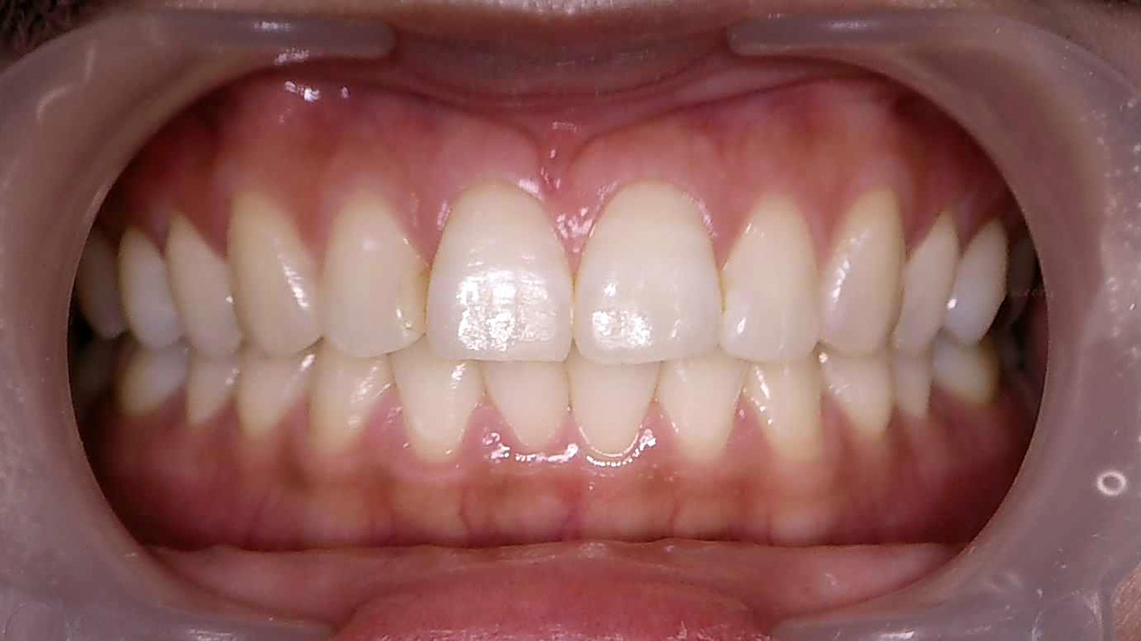
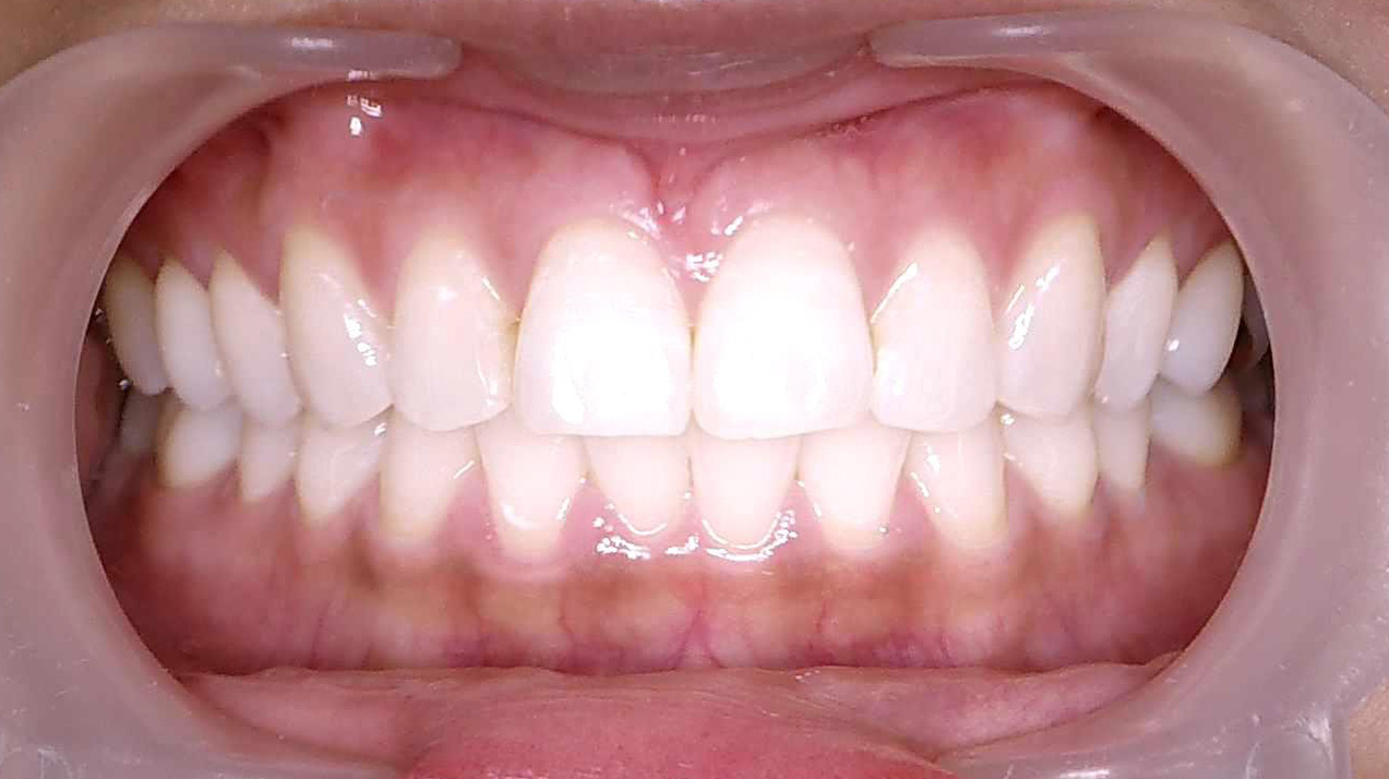
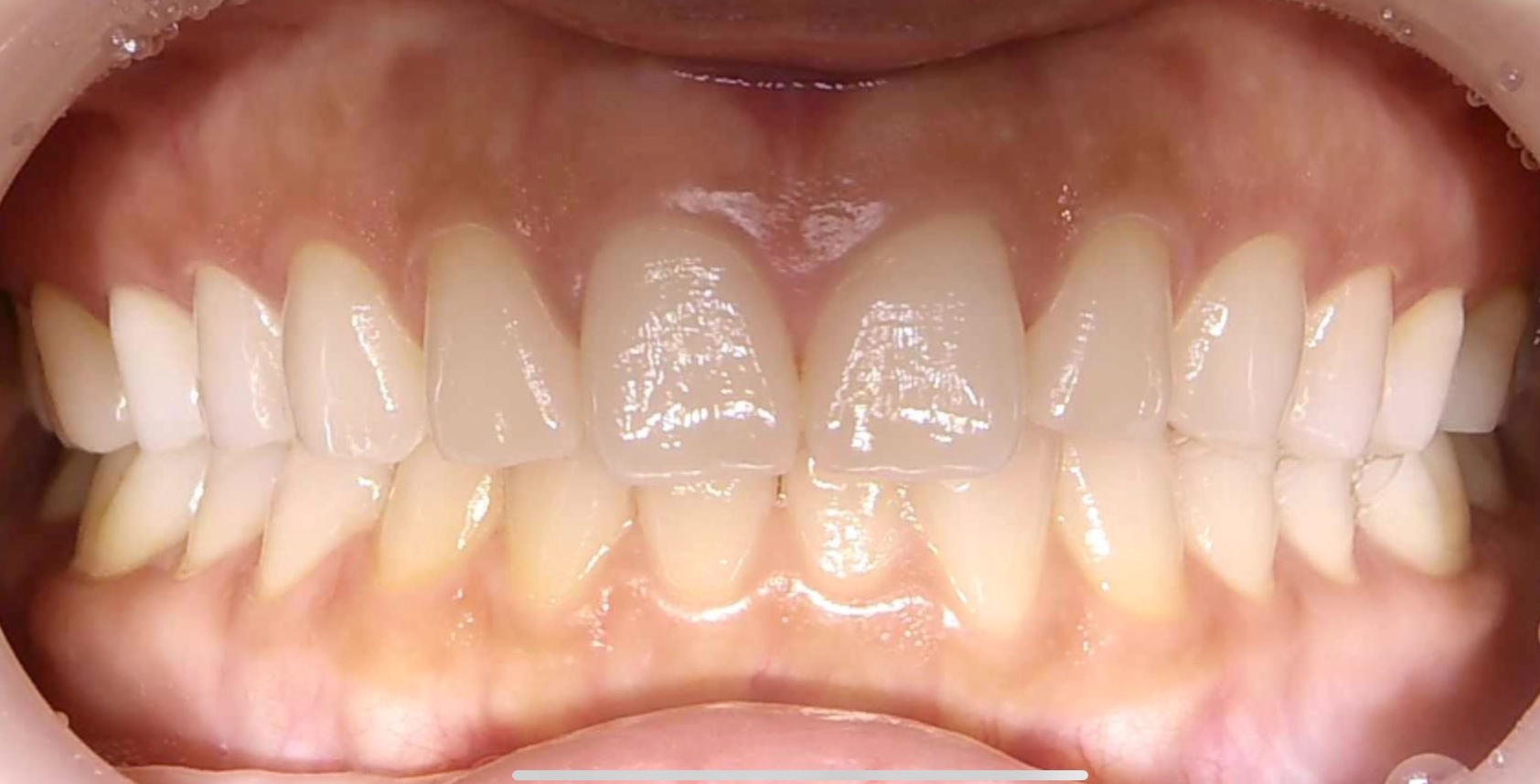
ホワイトニングの症例写真
- Before

- After

治療費:¥165,000
治療内容:オフィスホワイトニングとホームホワイトニング併用
来院回数:5回
リスク・副作用:数日間知覚過敏の症状が出ることがあります
- Before

- After

治療費:¥165,000
治療内容:治療内容:オフィスホワイトニングとホームホワイトニング併用
来院回数:5回
リスク・副作用:数日間知覚過敏の症状が出ることがあります
目的を理解したうえでホワイトニングを行っています
白金台デンタルクリニックのホワイトニングについてお伝えします。
当院のホワイトニングメニュー
ホームホワイトニング
ご自宅などで患者様ご自身で行っていただくホワイトニングです。専用のマウストレイに薬剤を注入し、それを口に装着して時間を置いて歯を白くしていきます。継続的に行っていただき、ご来院いただいたときに進捗を確認しながら、理想の白さに近づけていきます。
| 特長 | |
|---|---|
|
|
オフィスホワイトニング
歯科医院で受けていただくホワイトニングです。歯の表面に薬剤を塗布し、そこに特殊な光を当てて白くしていきます。
| 特長 | |
|---|---|
|
|
デュアルホワイトニング
ホームホワイトニングの持続性とオフィスホワイトニングの即時性を兼ね備えたホワイトニングです。ご自身でホームホワイトニングを毎日行っていただき、2週間に一度ご来院いただいてオフィスホワイトニングを同時に進めていきます。
| 特長 | |
|---|---|
|
|
当院では、ホワイトニングの処置とあわせて、PMTC(歯のクリーニング)やエアフロー(歯の着色除去)などを行っています。歯を白くするだけでなく、プラークや歯石などの付着もキレイに除去し、ホワイトニングの薬液を浸透しやすくさせることで、白い歯を追求していきます。
ホワイトニング〈治療料金〉
| ホームホワイトニング | ¥27,500 |
|---|---|
| オフィスホワイトニング | ¥27,500~¥33,000 |
| ホームホワイトニングジェル | 2本/¥5,500~¥6,600 |
| マウスピース再製 | ¥11,000 |
ホワイトニングQ&A
- 被せ物の歯はホワイトニングで白くなるの?
- ホワイトニングで白くできるのはご自身の歯のみです。被せ物の歯を白くしたい場合はもう一度被せ治す必要があります。
- ホワイトニングの後って何か気をつけることはあるの?
- ホワイトニング後30分間は飲食を控えてください。水のみはホワイトニング直後から飲んでいただいて結構です。 また、ホワイトニング期間中はコーヒーや紅茶、赤ワインなど着色の着きやすい お飲み物は控えていただくとより効果的です。
- 何回くらいホワイトニングをすれば白くなるの?
- 個人差と、どれくらい白くしたいかによりますが、オフィスホワイトニングは1回でも白くなりますが、続けて2~3回程度行うとさらに白くなります。ホームホワイトニングは5~10回で歯のお色はアップします。 ただ、ホワイトニングは続けることでより白く、綺麗な歯に導くので継続して通っていただくことがオススメです。
