マウスピース矯正
(インビザラインGO)

  • ホーム
  • マウスピース矯正(インビザラインGO)

インビザラインGO矯正とは

インビザラインGO矯正とは

インビザラインGOとは、主に前歯の歯並びの矯正治療を得意とするマウスピース矯正です。
アライン・テクノロジー社が開発したマウスピース矯正技術を、前歯部に適用させることで、幅広い患者様の症状に対応できる矯正を実現しました。

インビサライン特有のデジタル技術で設計した精密で目立ちにくい透明なマウスピースを装着して矯正治療をします。
歯並びの乱れが軽度の方や、少しだけ歯を移動させる必要がある方に最適な治療法です。

料金

インビザラインGO治療費 ―

インビザラインGO治療費

診断料

¥33,000

インビザライン再診療

¥5,500

インビザラインgo

¥440,000

インビザラインgo plus

¥660,000~¥770,000

保定装置

¥55,000

料金・おすすめプラン一覧

インビザラインGO

  • 1年 12分割
  • 2年 24分割
  • 3年 36分割

※上記以外の分割も可能ですので、お気軽にご相談ください。

当院の強み、特徴

  • 見た目と咬合機能の向上を両立した質の高い治療
  • ・痛みの少ない矯正
  • プライベート空間を実現し、リラックスできる治療環境を提供

インビザラインGOで対応できるケース

  • ・前歯のガタガタ
  • ・すきっ歯
  • ・一本の歯が反対に噛んでいる場合
  • ・少しの八重歯
  • ・少しの出っ歯
  • ・噛み合わせの改善

特長

☆治療中でも目立ちにくい

インビザラインGOシステムは、治療を始めて早い段階から成果が現れます。しかも、インビザラインGOのマウスピース矯正は目立ちにくいため、マウスピースをはめている事を周囲にほとんど気づかれずに矯正治療が可能です。
また、特別な行事がある場合でも、行事の間マウスピースを取り外すことが可能です。

☆装着感が良く、予測実現性にも優れている

インビザラインGOのマウスピース矯正は革新的な技術や機能、素材により、装着感が良く、予測実現性にも優れた歯列矯正を行えます。
最初にシュミレーションした治療計画の様に歯並びがだんだん良くなっていきます。

☆通院回数を減らせます

通院回数を少なく抑えることができ、ご多忙な方でも理想的な治療です。
1~2ヵ月に一度来院頂いてチェックを行います。

☆アクティブなライフスタイルを維持

スポーツなどもマウスピースを装着したまま行って頂けます。
(通常のワイヤー矯正では、口唇を傷つける可能性があるため注意が必要でした)

インビザラインGOの注意点

食事や歯磨き以外の時間はマウスピースを装着していただき、1日20時間以上の装着時間となるようにご協力ください。
装着時間が短くなれば、治療期間が長引く事でマウスピースが合わなくなり、再製作が必要になることがあります。

☆治療中でも目立ちにくい

インビザラインGOシステムは、治療を始めて早い段階から成果が現れます。しかも、インビザラインGOのマウスピース矯正は目立ちにくいため、マウスピースをはめている事を周囲にほとんど気づかれずに矯正治療が可能です。
また、特別な行事がある場合でも、行事の間マウスピースを取り外すことが可能です。

☆装着感が良く、予測実現性にも優れている

インビザラインGOのマウスピース矯正は革新的な技術や機能、素材により、装着感が良く、予測実現性にも優れた歯列矯正を行えます。
最初にシュミレーションした治療計画の様に歯並びがだんだん良くなっていきます。

☆通院回数を減らせます

通院回数を少なく抑えることができ、ご多忙な方でも理想的な治療です。
1~2ヵ月に一度来院頂いてチェックを行います。

☆アクティブなライフスタイルを維持

スポーツなどもマウスピースを装着したまま行って頂けます。
(通常のワイヤー矯正では、口唇を傷つける可能性があるため注意が必要でした)

インビザラインGOの注意点

食事や歯磨き以外の時間はマウスピースを装着していただき、1日20時間以上の装着時間となるようにご協力ください。
装着時間が短くなれば、治療期間が長引く事でマウスピースが合わなくなり、再製作が必要になることがあります。

他の矯正治療との比較

施術の種類 インビザラインGO ワイヤー矯正
施術範囲 インビザラインGO ワイヤー矯正
見た目 目立ちにくい 目立つ
取り外し 自分で取り外し可能 取り外し不可
痛み ほとんど痛み無し 強く感じることが有る
金属アレルギー 無し 可能性がある
衛生面 取り外せるため通常のブラッシングでOK 食べかすが残りやすい
会話 ほぼ問題なし ほぼ問題なし
歯の対象 審美部位が対象 歯列全体が対象

未承認医療機器の使用について

当院では、未承認の医療機器である「マウスピース型カスタムメイド矯正装置(インビザラインGO)」を使用しています。
このため、医療広告ガイドラインに従い、未承認医薬品等であること、国内の承認医薬品等の有無、入手経路等、諸外国における安全性等に係る情報を掲載いたします。

1【未承認医薬品であること】

インビザラインGOは日本の薬機法では承認されていませんが、歯科医師の適切な治療により安全性と有効性が確立されています。

2【国内の承認医薬品等の有無】

当院では、日本で承認を受けたマウスピース型カスタムメイド矯正装置を使用しています。

3【入手経路等】

当院の使用するマウスピース型カスタムメイド矯正装置(インビザラインGO)は、アメリカのAlign Technology社の製品であり、
入手先はアライン・テクノロジー・ジャパン株式会社です。

4【諸外国における安全性等に係る情報】

インビザラインGOは1998年にFDAから認証を受け、世界中で1400万人以上の患者が使用されており、重大な副作用の報告はありません。

5【医薬品副作用被害救済制度の対象外であること】

完成物薬事機法対象外の矯正歯科装置であり、医療品副作用被害救済制度の対象外となります。

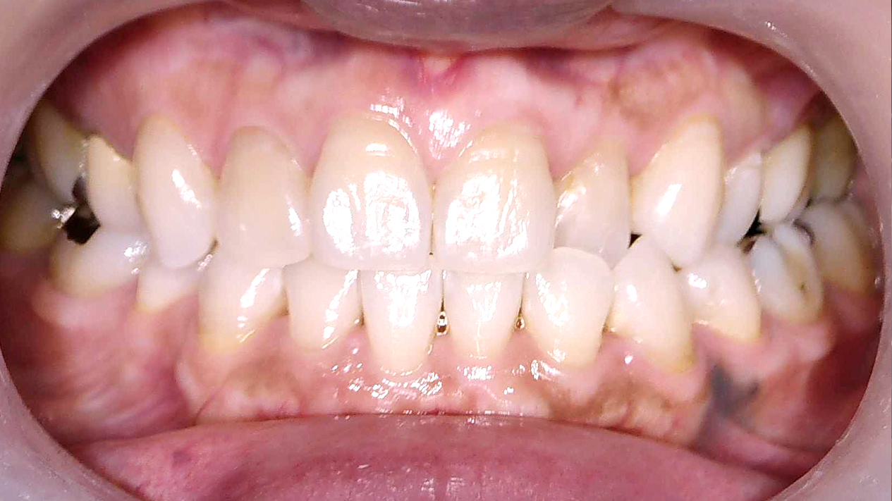
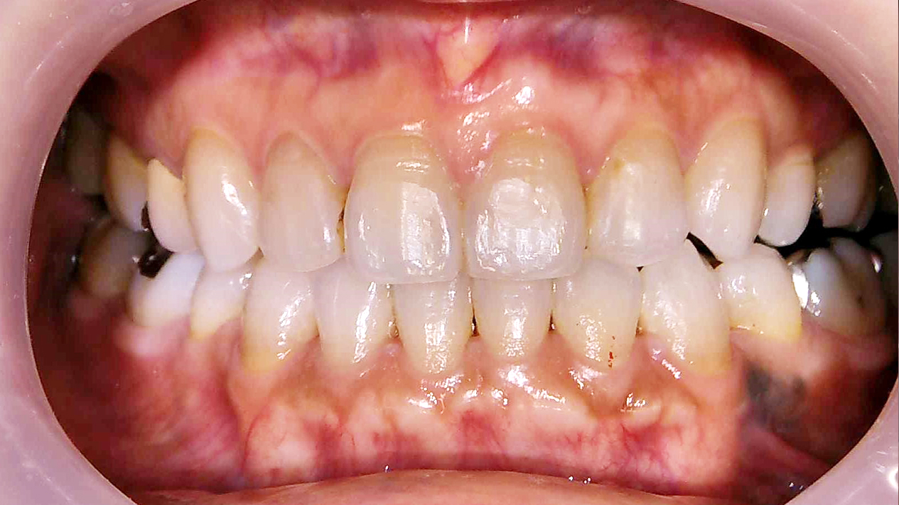
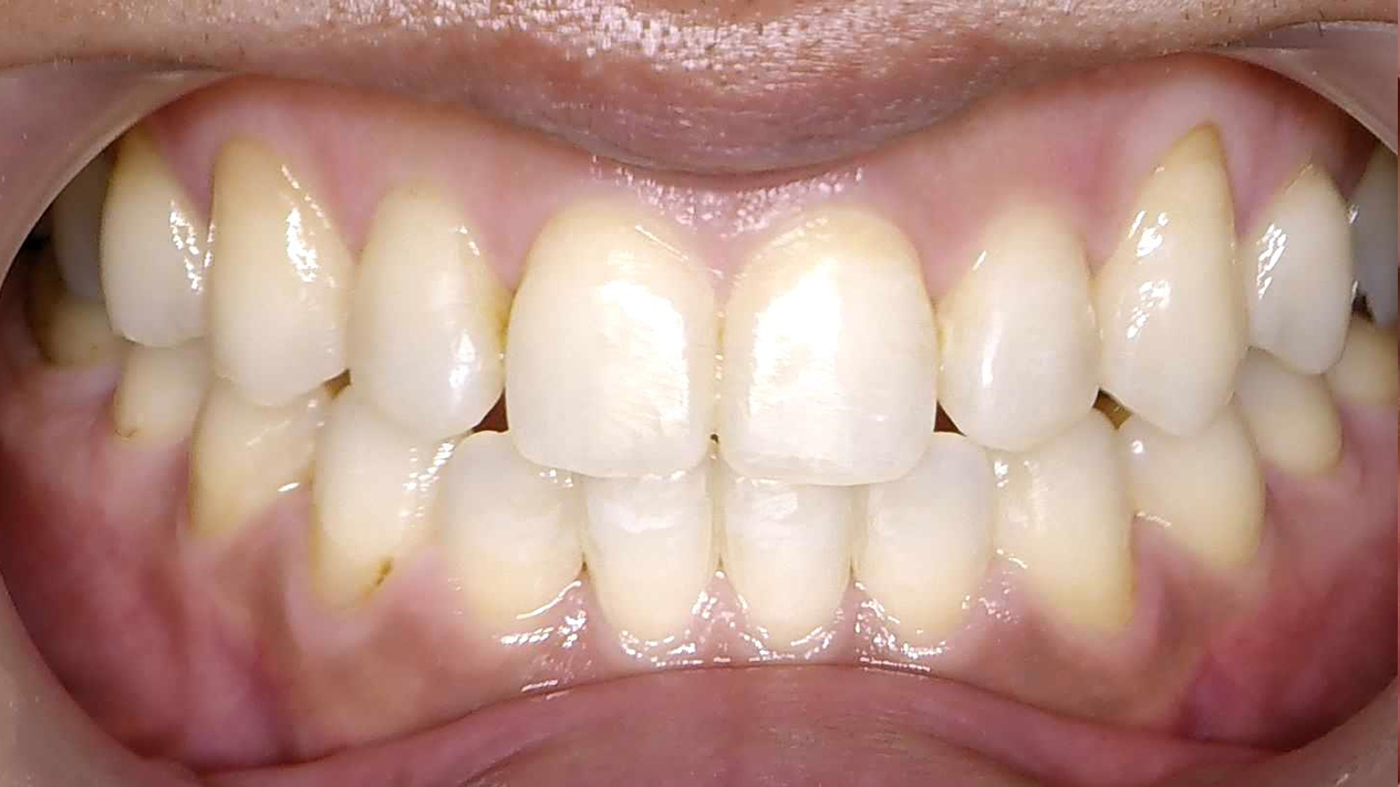
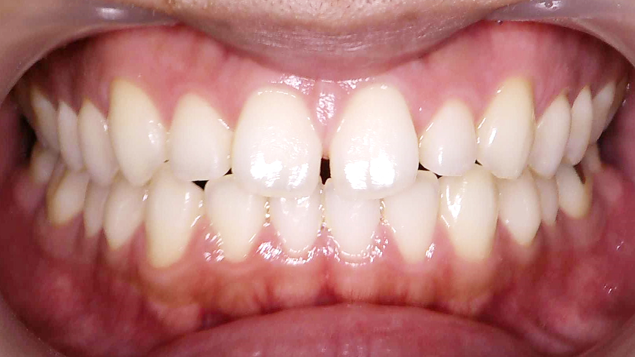
マウスピース矯正の症例写真

  • BeforeBefore
  • AfterAfter

治療内容:インビザラインGo
来院回数:8回 初診カウンセリングから治療終了(リテーナーお渡し)まで
リスク・副作用:お口の中の状態によっては、治療計画どおりの結果が得られないことがあります。
治療途中において口腔内衛生状況によっては、むし歯や歯周疾患を引き起こすことがあります。
治療完了後は後戻りを防ぐため、保定装置の装着が必要になります。

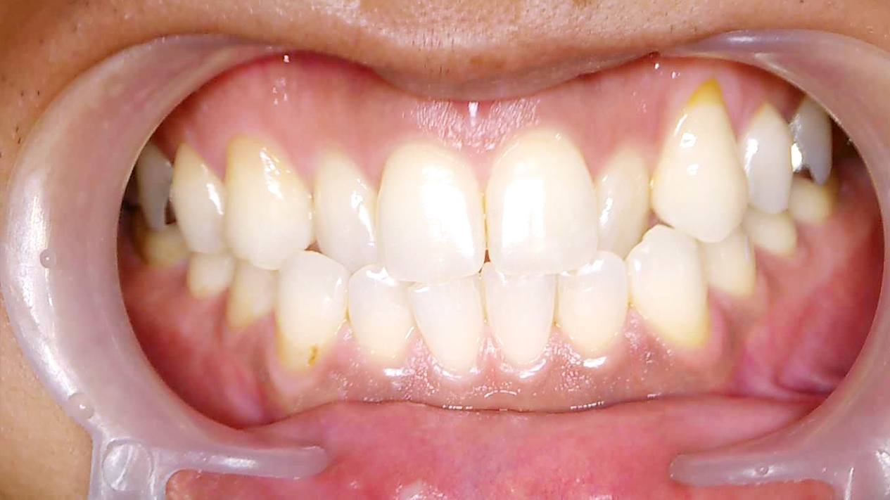
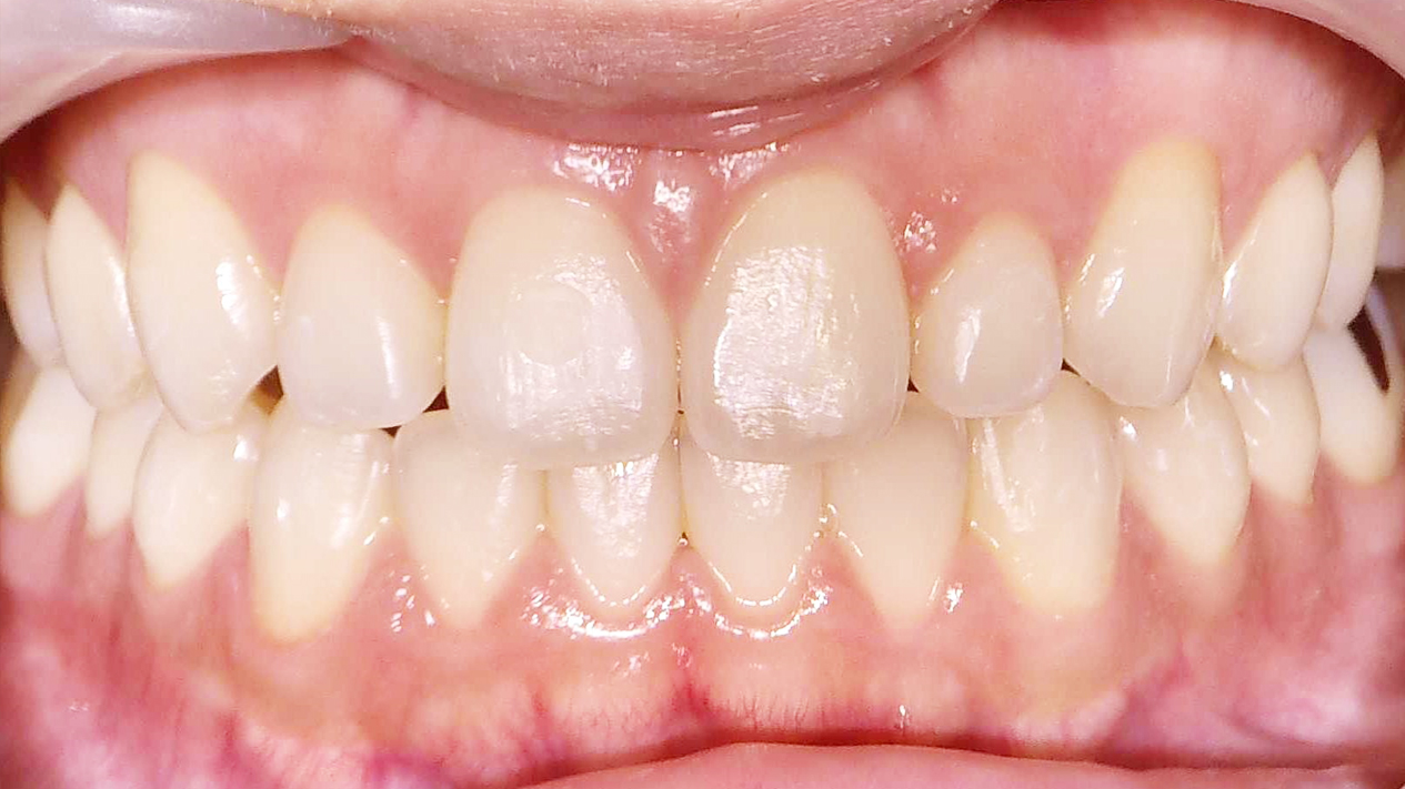
  • BeforeBefore
  • AfterAfter

治療内容:インビザラインGo
来院回数:7回 初診カウンセリングから治療終了(リテーナーお渡し)まで
リスク・副作用:お口の中の状態によっては、治療計画どおりの結果が得られないことがあります。
治療途中において口腔内衛生状況によっては、むし歯や歯周疾患を引き起こすことがあります。
治療完了後は後戻りを防ぐため、保定装置の装着が必要になります。

  • BeforeBefore
  • AfterAfter

治療内容:インビザラインGo
来院回数:8回 初診カウンセリングから治療終了(リテーナーお渡し)まで
リスク・副作用:お口の中の状態によっては、治療計画どおりの結果が得られないことがあります。
治療途中において口腔内衛生状況によっては、むし歯や歯周疾患を引き起こすことがあります。
治療完了後は後戻りを防ぐため、保定装置の装着が必要になります。

よくある質問

歯を抜くことがありますか?
インビザラインGo矯正では歯を抜くことはありません。
親知らずがある場合は、親知らずを抜く可能性があります。
痛みはありますか?
個人差があり、痛みが出る可能性もございます。
初めて装置をつけた時に、1~2日歯が浮いたような痛みがありますが3~4日程度で慣れる方がほとんどです。
治療期間はどのくらいですか?
治療期間は、治療方針や診断によって異なります。
そのため患者様によって違いますが、短くて1年、長くても3年以内のケースがほとんどです。当院では、検査結果をお伝えする際に治療の期間もお伝えしています。
矯正装置で発音がしにくくなりますか?
矯正装置を付けてすぐは違和感があります。
発音する時、一時的に唇や舌の位置がわからなくなり、発音しにくくなる場合もございます。
差し歯や、ブリッジの歯も矯正できますか?
差し歯、ブリッジの歯でも、矯正治療はできます。
治療方針によっては、今入っている差し歯やブリッジを一度外して仮歯にした後、矯正治療完了後に新しいものに作り直す場合もございます。
矯正治療中に食べてはいけないものはありますか?
特に食べてはいけないものはございません。
しかし固いものや粘着力の強いものは矯正装置が壊れてしまったり、取れてしまう可能性がありますので矯正治療中は注意してお召し上がりください。
虫歯や歯周病になりやすいですか?
矯正装置がついているため、十分に歯磨きが出来ずに汚れが付着しやすくなります。
当院では、矯正治療患者様に虫歯予防のためにも歯みがき指導や定期的なクリーニングを行っています。 毎日の歯のお手入れで、むし歯や歯周病のリスクを大きく下げることが可能です。
矯正治療に年齢制限はありますか?
矯正治療に年齢制限はございません。
永久歯に生え変わったばかりの方から、何歳まででも上限はございません。
妊娠中でも治療は可能ですか?
妊娠中も矯正治療は可能です。
ホルモンバランスにより、歯肉の腫張が起こりやすいので、適切なブラッシングを行うことを推奨しています。
治療後に歯が戻ってしまうことはありますか?
リテーナーを説明通りに使用しないと後戻りの原因になります。
また親知らずなどにより後戻りが起こる場合もあるので、状況に応じて親知らずの抜歯を薦める場合もあります。

to top